文献解读|Food sci hum well(8.022):粪便代谢组学揭示蜂胶乙醇提取物对II型糖尿病(T2DM)小鼠积极作用
✦ +
+
论文ID
原名:Fecal metabolomics reveals the positive effect of ethanol extract of propolis on T2DM mice
译名:粪便代谢组学揭示蜂胶乙醇提取物对II型糖尿病(T2DM)小鼠的积极作用
期刊:Food Science And Human Wellness
影响因子:8.022
发表时间:2022.7.25
DOI号:10.1016/j.fshw.2022.07.034
背 景
II型糖尿病(T2DM)是一种异质性疾病,主要特征为胰岛素抵抗。数据显示,目前全球共有约5亿人患有糖尿病。越来越多的研究表明,肝脏疾病和肠道菌群可能与肥胖、胰岛素抵抗和T2DM等代谢性疾病密切相关。研究表明,蜂胶具有抗菌、抗炎和免疫调节作用,可以有效预防糖尿病,但关于蜂胶乙醇提取物(EEP)在治疗T2DM过程中对粪便代谢组学的影响还不清楚。本研究采用超高效液相色谱-四极杆飞行时间质谱(UPLC-Q-TOF-MS)分析T2DM小鼠和正常小鼠的粪便代谢组差异,以筛选T2DM潜在的生物标志物,探讨EEP在T2DM发病机制中的作用,为EEP的临床应用提供新的思路。
实验设计

结 果
01

EEP对体重、血糖和血清胰岛素的影响
糖尿病发病期间,机体会消耗大量的脂肪和蛋白,因此在EPP治疗前,T2DM小鼠体重显著低于对照组。使用低剂量EPP(EPP-L)和高剂量EPP(EPP-H)治疗后,小鼠体重下降趋势减慢,且呈现剂量依赖性(图1A)。这表明EPP可以有效减缓糖尿病小鼠的体重损失。在EPP治疗前,T2DM小鼠空腹血糖(FBG)含量显著高于对照组。随着EPP治疗时间延长,对照组小鼠FBG保持相对稳定,而EPP-L 和EPP-H组小鼠FBG显著低于T2DM组(图1B)。
为了探究EPP对胰岛素抵抗的治疗效果,作者检测了EPP治疗28天后小鼠空腹胰岛素(FINS) 水平和胰岛素抵抗指数(HOMA-IR)。结果表明,EPP治疗前,T2DM组的FINS水平显著高于对照组,表明T2DM出现胰岛素抵抗。而与T2DM组相比,EEP-L和EEP-H组的FINS水平显著降低,EEP-H组的效果更好(图1C)。同时,HOMA-IR结果显示,与T2DM组相比,EEP-L和EEP-H组的HOMA-IR指数也显著降低 (图1D),这表明EEP可以增强胰岛素敏感性并降低胰岛素抵抗水平。

图1 EPP治疗对T2DM小鼠体重、血糖和胰岛素的影响
02

EPP对血液生化指标的影响
T2DM小鼠血清总胆固醇(TC)含量与对照组相比无显著差异,在EPP治疗后出现显著下降;与对照组相比,T2DM小鼠甘油三酯(TG)含量显著下降,经EPP治疗后,TG含量进一步下降(图2A,B)。此外,T2DM小鼠血清高密度脂蛋白胆固醇(HDL-C)较对照组相比显著增加,在EPP-L治疗后轻微增加,但无显著差异,而在EPP-H治疗后出现显著增加,而低密度脂蛋白胆固醇(LDL-C)则在四组之间均无显著差异(图2C,D)。
由于糖尿病患者体内葡萄糖含量增加会导致肝损伤,从而释放转氨酶进入血液。T2DM小鼠血清谷草转氨酶(AST)和谷丙转氨酶(ALT)含量均显著高于对照组,但是在EPP治疗后,AST和ALT含量出现显著下降(图2E,F),这表明EEP具有一定程度的肝修复功能。

图2 EPP对血液生化指标的影响
03

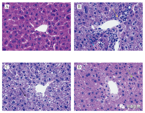
EEP对T2DM小鼠肝损伤的影响
肝脏组织病理学HE染色分析结果表明:
(1)对照组肝细胞形态正常,肝小叶结构清晰,肝细胞排列整齐,肝窦无明显扩张或变窄,未见明显肝细胞退行性病变和坏死,未见明显炎症细胞浸润(图3A);
(2)T2DM组肝细胞严重受损、肿胀,肝脏狭窄,局部静脉周围可见少量淋巴细胞浸润 (黄色箭头),肝细胞炎性坏死 (蓝色箭头)、细胞核碎裂、细胞质嗜酸性粒细胞增多(图3B);
(3)EEP-L组肝小叶结构较清晰,仅部分肝细胞有轻度颗粒变性 (黑色箭头),未见明显炎性细胞浸润(图3C);
(4)EEP-H组肝小叶结构更清晰,部分肝细胞胞浆内可见微小空泡 (蓝色箭头),未见明显炎性细胞浸润(图3D)。
这表明EEP对T2DM引起的肝损伤有较好的修复功能,可以减少慢性肝病及其并发症的发生。

图3 EEP对T2DM小鼠肝损伤的影响
04

代谢组分析
主成分分析(PCA)显示了各组代谢物总体差异。与T2DM组小鼠相比,在EPP治疗后,小鼠粪便代谢组出现明显差异(图4A-C)。进一步使用OPLS-DA模型来更好的区分组间的代谢物,从得分图来看,对照组和T2DM小鼠之间分离程度大,表明T2DM小鼠建模成功(图5A)。此外,EPP-L、EPP-H组与T2DM小鼠之间的差异也很大,表明EPP对T2DM小鼠粪便代谢组产生影响(图5B,C)。同时,为了防止模型的过度拟合,作者使用了七重交叉验证和200个响应排列测试 (RPT) 来评估模型的质量,结果如图5D-F所示:OPLS-DA分析显示Q2的回归线在纵坐标上的截距小于0,表明不存在过度拟合,数据可用于后续的代谢组学研究。

图4 四组小鼠粪便代谢谱PCA分析

图5 四组小鼠粪便代谢谱PCA分析及OPLS-DA置换检验图
05

LC-MS代谢谱分析及通路分析
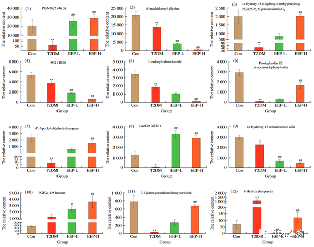
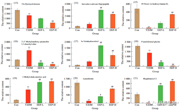
代谢组分析一共鉴定出27种潜在代谢标志物,其中11种为负离子筛选,16种为正离子筛选,这些代谢物主要参与甾醇脂质、脂肪酸、甘油磷脂、甘油脂质等代谢通路(表1)。与对照组相比,T2DM小鼠中有16种代谢物显著降低,7种显著增加,4种水平接近。而在EEP治疗后,与T2DM组相比,EEP-L组的6种代谢物显著降低,12种显著增加,9种无显著变化;EEP-H组有8种显著降低,19种代谢物显著增加(图6)。
在这27种代谢物中,有很多和糖尿病进程相关的代谢物。PI (36:1)参与糖尿病及其并发症的发生,而PE-NME2 (46:3)是卵磷脂的组成部分,卵磷脂可增强胰腺功能。与对照组相比,T2DM小鼠粪便PI(36:1)水平增加,PE-NME2 (46:3)水平降低,这符合预期。但在EPP治疗后,与T2DM组相比,EEP-L组和EEP-H组可显著降低粪便PI (36:1)水平,增加PE-NME2 (46:3)水平,这表明EEP治疗可以有效调节T2DM小鼠的脂肪酸代谢,减缓糖尿病进程。此外,EPP治疗还可以增加粪便中与炎症、抗氧化、胰岛素分泌等相关的代谢物水平,如LacCer (d42:1),光色素和NAGly,表明EEP可以增强T2DM小鼠的抗炎能力、抗氧化能力和胰岛素分泌能力,最终达到治疗缓解糖尿病的目的。
表1 潜在生物标志物鉴定




图6 粪便中27种代谢物的相对含量
+ + + + + + + + + + +
结 论
本研究分析了EPP对T2DM小鼠血清生化指标、肝脏病理学和粪便代谢组的影响,鉴定了多种T2DM代谢标志物,从代谢组的角度阐明了EEP治疗T2DM的潜在机制,为EPP的临床应用和T2DM的治疗提供了新的方向。
+ + + + +



English

