文献解读|Nat Commun(16.6):母体维生素 B1 是后代原始卵泡形成命运的决定因素
✦ +
+
论文ID
原名:Maternal vitamin B1 is a determinant for the fate of primordial follicle formation in offspring
译名:母体维生素 B1 是后代原始卵泡形成命运的决定因素
期刊:Nature Communications
影响因子:16.6
发表时间:2023.11.16
DOI号:10.1038/s41467-023-43261-8
背 景
哺乳动物胎儿和新生儿的生长发育受到母亲营养供应的限制;反过来,这些营养物质由肠道中的母体微生物释放和代谢。因此,母体微生物代谢物和外源物质在调节母胎稳态和后代发育中发挥着关键作用,需要探究这些潜在的分子机制。
实验设计

结 果
01
母亲怀孕期间的高脂肪饮食 (HFD) 损害后代原始卵泡的形成
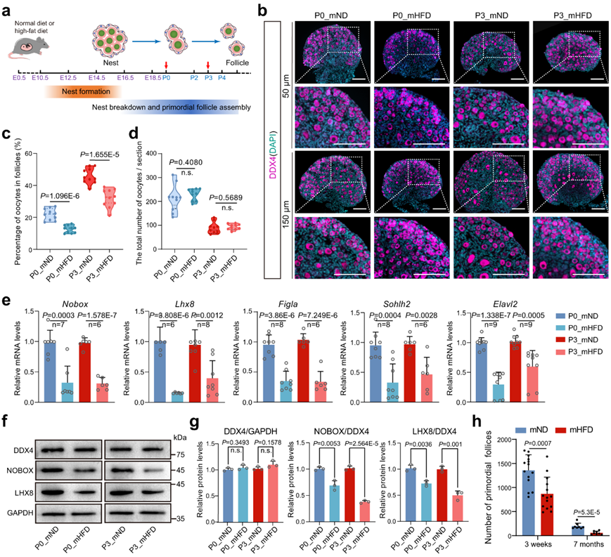
为了研究妊娠期母体HFD对胎儿和新生儿卵巢发育的影响,怀孕的C57BL/6小鼠在交配后用正常饮食(mND)和HFD(mHFD)喂养(图1a)。由于原始卵泡组装开始于胎儿期,通过DDX4抗体免疫染色检测出生后第0天(P0)和出生后第3天(P3)时mND和mHFD小鼠子代未组装的卵母细胞(巢内生殖细胞)和原始卵泡(卵泡内生殖细胞)的数量(图1b)。值得注意的是,与mND小鼠相比,mHFD小鼠的后代中原始卵泡的百分比显著降低(图1c)。然而,卵母细胞总数没有显著差异(图1d)。正如预期的那样,一些与原始卵泡形成时间一致的卵母细胞特异性转录因子在mHFD小鼠的后代中下调(图1e-g)。此外,mHFD小鼠3周龄和7月龄后代卵巢中的原始卵泡和生长卵泡较少,表明卵巢缺损具有深远影响。

图1. 母亲怀孕期间的 HFD 导致后代原始卵泡形成受损。
(a) 产妇饮食方案和原始卵泡形成时间线的示意图。 (b) mND 和 mHFD 组后代卵巢中 DDX4 的免疫荧光(IF)染色。 (c) 小提琴图显示卵泡内卵母细胞的百分比。(d) 小提琴图显示每组卵巢中每个切片的卵母细胞总数。(e) RT-qPCR分析各组Nobox、Lhx8、Sohlh2、Figla和Elavl2的表达。(f-g) mND 和 mHFD 组后代卵巢中 DDX4、NOBOX 和 LHX8 的代表性图像和相对蛋白水平。(h) mND 和 mHFD 组后代卵巢中 3 周和 7 个月的原始卵泡数量。
02
母体维生素 B1(VB1)是决定后代原始卵泡形成的主导因素
胎儿营养的获取取决于母体与胚胎的相互作用,其中母体代谢物起着关键作用。因此,他们推断,HFD 母亲的血清循环代谢物可能导致原始卵泡形成受损。为了检验这一假设,他们对母体血清样本进行非靶向代谢组学分析。根据主成分分析(PCA)和正交偏最小二乘判别分析(OPLS-DA),mND 和 mHFD 组之间代谢物的明显聚类不同(图2a,图S3a)。在mND组和mHFD组之间,454种代谢物的丰度显著改变(图S3b)。更重要的是,VB1的丰度与后代表型高度相关,特别是与巢或卵泡中种系的百分比相关(图S3c-d)。此外,维生素消化吸收通路非常显著(图2b),该通路中的6种代谢物在mHFD组中发生了显著变化(图2c)。mHFD组与mND组相比,母体血清和子代P3卵巢中VB1水平显著降低(图2d)。
为了研究VB1在原始卵泡形成中的潜在功能,他们构建了VB1缺乏和补充模型(图2e)。在怀孕期间使用 60 mg/kg VB1 拮抗剂氨丙啉 (mTA)处理 14 天或进行VB1 缺乏的饮食 (mTD) 喂养 7 天后,母体血清VB1水平、原始卵泡形成发育、胎儿生长指标与妊娠母体HFD模型基本相似(图 2f-h)。此外,妊娠期补充VB1可提高母体血清VB1水平,促进原始卵泡形成和胎儿生长指标(图 2f-h)。这些结果表明母体VB1在怀孕期间保护后代免受原始卵泡形成受损。

图2. 母体维生素 B1 的消耗会损害后代的原始卵泡组装。
(a) 主成分分析(PCA)。 (b) mND组与mHFD组的代谢途径紊乱。(c) 维生素消化和吸收途径中差异代谢物的热图。(d) P3 各组中母体血清或子代卵巢中维生素 B1 的浓度。 (e) 样品处理实验的研究设计。 (f) mND、mHFD、mTA、mTD中母体血清中的维生素 B1 浓度。(g) P3 所示组中子代卵巢中 DDX4 的 IF 染色。 (h) mND组、mHFD组、mTA组、mTD组和mHFD+VB1组巢内和卵泡内生殖细胞百分比。

图S3. mND组和mHFD组母体血清代谢组学分析显示母体维生素B1水平与雌性子代表型密切相关。
(a) mND与mHFD的OPLS-DA评分图及相应的排列检验。(b) mND和mHFD比较中差异代谢物的火山图。(c) 差异代谢物水平与后代表型的Spearman相关分析。 (d) 维生素B1丰度与卵巢内或卵泡内卵母细胞比例的Spearman相关分析。
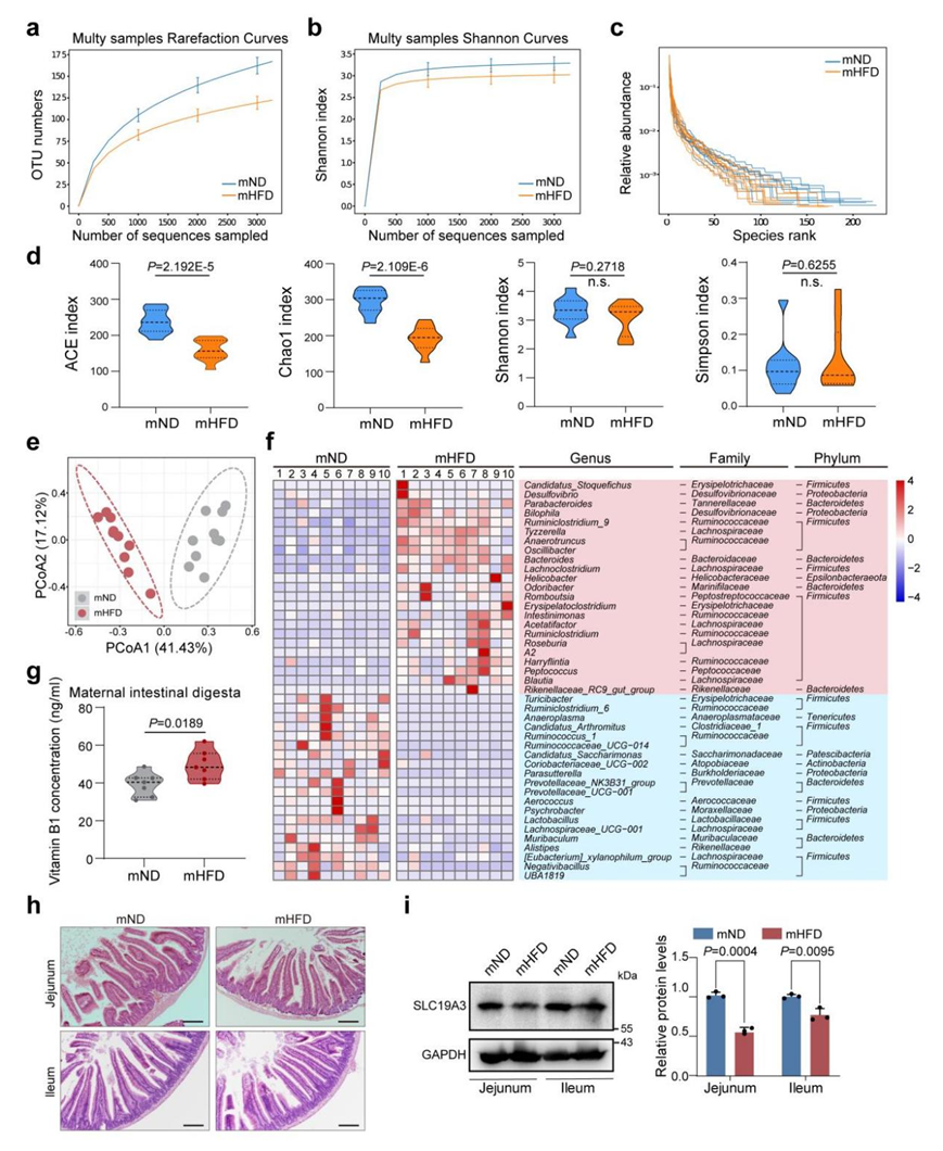
肠道微生物群是营养代谢和吸收的关键调节剂。为了确定母体肠道微生物群是否影响母体 VB1 水平,他们进行了 16S 核糖体 DNA (rDNA) 扩增子测序(图S5a-d)。基于 Bray-Curtis 的主坐标分析(PCoA)证实 mND 和 mHFD 组之间存在明显的聚类(图S5e)。此外,与 mND 组相比,mHFD 组的 43 种细菌在属水平上发生了改变(图S5f)。此外,他们证实 mHFD 组肠道消化物中 VB1 水平升高(图S5g)。鉴于体内VB1的主要来源是食物摄入,他们假设微生态平衡失调是否会扰乱VB1的吸收。肠道组织病理学结果显示两组之间没有差异(图S5h)。值得注意的是,VB1转运蛋白SLC19A3蛋白表达水平的急剧降低表明VB1在空肠和回肠中的吸收被破坏(图S5i)。

图S5. 高脂饮食对妊娠诱导的肠道菌群和维生素B1吸收的有害影响。
(a) mND和mHFD样品的肠道菌群曲线。 (b) mND和mHFD样品肠道菌群Shannon曲线。(c) mND和mHFD样本的肠道菌群OTU秩和曲线。(d) mND和mHFD组肠道菌群ACE指数、Chao1指数、Shannon指数和Simpson指数。(e) 基于mND组和mHFD组样本操作分类单位指标的肠道菌群Bray-Curtis主坐标分析图。(f) mHFD组与mND组比较差异丰度的热图。(g) mND组和mHFD组母鼠肠道食糜中维生素B1的浓度。(h) mND组和mHFD组空肠和回肠的代表性H&E图像。 (i) mND组和mHFD组大鼠空肠、回肠SLC19A3蛋白相对表达量。
03
妊娠期间母亲 HFD 导致后代卵巢原始卵泡形成的转录谱出现差异
为了表征母体 HFD 诱导的原始卵泡组装受损的机制特征,他们对P0 和 P3 时的卵巢卵泡样本进行了单细胞转录组分析(scRNA-seq)(图 3a)。通过使用统一流形近似和投影(UMAP)对 mND 和 mHFD 组的主要细胞群进行聚类,并根据其不同的转录组特征识别出 12 个细胞聚类。他们鉴定了六种主要细胞类型,包括具有Ddx4和Dazl表达的生殖细胞(聚类4、6),具有Amhr2和Dazl表达的颗粒细胞(聚类0、2、3、10)和Kitl表达,基质细胞(聚类 1、9、11)具有Mfap4和Col1a1表达,内皮细胞(聚类 8)具有Egf17和Aplnr表达,红细胞(聚类 5)具有Alas2和Rhd表达,免疫细胞(聚类7)具有Cd52和Cd53表达(图3b)。值得注意的是,他们比较了不同细胞状态下的细胞占用率,发现在mHFD组中状态2的比率几乎丧失(图3c),这表明状态2可能在原始卵泡形成的发育中发挥关键作用(图3c)。显然,GO分析显示“线粒体组织”、“线粒体呼吸链复合体组装”和“ATP代谢过程”在状态2的生殖细胞中高度富集(图3d),这表明mHFD组在原始卵泡组装过程中线粒体形态和功能发生破坏。通过RT-qPCR验证代表性线粒体组织转录本的表达(图3e)。透射电镜观察mND组和mHFD组生殖细胞线粒体形态。在mHFD小鼠的子代新生卵巢中经常观察到线粒体的超微结构畸变,其特征是空泡化、嵴断裂和线粒体膜破裂(图3f)。这些结果表明,在子代原始卵泡形成的发育过程中,母体HFD诱导生殖细胞线粒体功能障碍。

图3. 怀孕期间母亲 HFD 导致生殖细胞线粒体功能障碍。
(a) scRNA-seq分析程序的示意图 (b) 六种主要卵巢细胞类型的 UMAP 图。 (c) 三种细胞状态的百分比。 (d) 代表具有三种细胞状态的四个基因集表达的热图(左);每个基因集中差异表达基因的 GOf分析(右)。 (e) RT-qPCR 分析 mND 和 mHFD 组后代卵巢中线粒体组织相关基因的表达。 (f) P3 生殖细胞线粒体的透射电子显微镜成像。
04
母体VB1参与乙酰辅酶A代谢对后代的原始卵泡组装是必要的
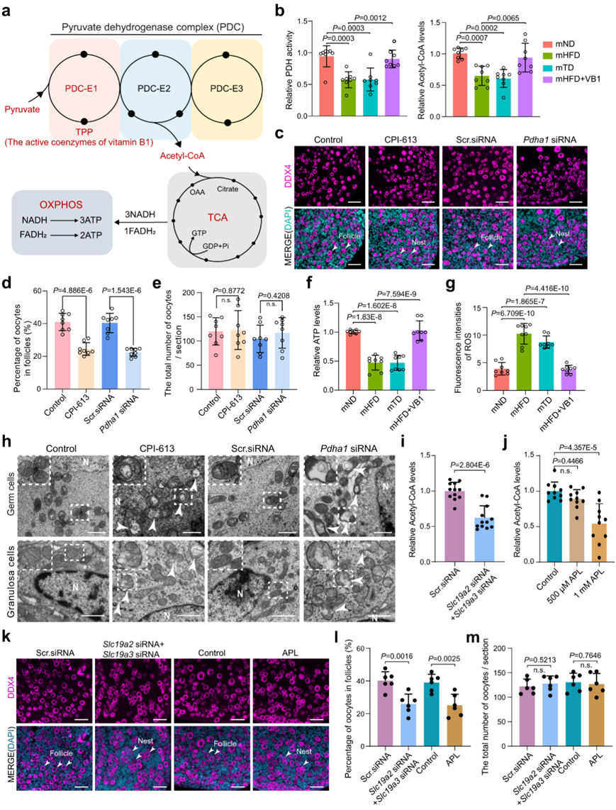
硫胺素焦磷酸(TPP)是VB1的一种活性形式,是丙酮酸脱氢酶复合物E1(PDC-E1或PDH)的辅酶,负责丙酮酸转化为乙酰辅酶A(图4a)。因此,他们推断 VB1 不足是否会导致 PDH 活性和乙酰辅酶 A 水平大幅降低。正如预期的那样,在 mHFD 和 mTD 小鼠后代的 P3 卵巢中检测到 PDH 活性和乙酰辅酶 A 水平急剧下降(图 4b)。相比之下,在mHFD小鼠的子代P3卵巢中,补充VB1显著提高了PDH活性和乙酰辅酶A水平(图4b),这表明在胎儿和新生儿卵巢中丙酮酸合成乙酰辅酶A的过程中,VB1是不可或缺的。结果表明,Pdha1 siRNA和CPI-613组与母体HFD诱导的原始卵泡组装缺陷非常相似(图4c-e)。
母体高脂饮食可导致新生儿卵巢线粒体功能障碍。同时,乙酰辅酶A是线粒体三羧酸循环所必需的,他们检测了P3卵巢中的ATP含量。与mHFD和mTD卵巢一样,在Pdha1 siRNA或CPI -613处理的卵巢中,ATP水平显著降低,但在补充VB1后,ATP水平恢复(图4f),这表明VB1不足导致的乙酰辅酶A水平降低可能损害线粒体功能。已知线粒体功能障碍导致ROS的产生及其超微结构畸变。Pdha1 siRNA或CPI-613处理组卵巢中出现的ROS信号明显强于对照组,这与mHFD和mTD组一致(图4g)。与此同时,Pdha1 siRNA和CPI-613处理组卵巢生殖细胞和颗粒细胞线粒体的超微结构也出现了明显的畸变。
共转染Slc19a2和Slc19a3 siRNA可有效降低Slc19a2 / Slc19a3的表达,导致卵巢组织乙酰辅酶A含量显著降低(图4i)。此外,他们在体外使用500 μM和1 m·M Amprolium(APL)来阻断VB1的利用,导致在1 mM APL下乙酰辅酶A含量显著降低(图4j)。至关重要的是,与各自的对照组相比,Slc19a2/Slc19a3 siRNA组和1 mM APL组都表现出对原始卵泡形成的显著抑制,而卵泡总数保持不变(图4k-m)。这些结果与怀孕的母体HFD模型非常相似,说明由VB1介导的丙酮酸正常转化为乙酰辅酶A对新生儿卵巢的原始卵泡组装至关重要。

图4. 母体维生素 B1 对于新生儿卵巢的线粒体功能和原始卵泡至关重要。
(a) 维生素 B1 参与乙酰辅酶 A 代谢的示意图。 (b) mND、mHFD、mTD 或 mHFD+VB1 小鼠后代卵巢中的相对丙酮酸脱氢酶 (PDH) 活性和相对乙酰辅酶A 水平。 (c) 分别用PDH抑制剂CPI-613、Scr-siRNA或Pdha1 -siRNA处理的卵巢中DDX4的IF染色。(d) 指定组中卵泡内卵母细胞的百分比。(e) 指定组中每个切片的卵母细胞总数。(f-g) mND、mHFD、mTD或mHFD+VB1小鼠子代卵巢中ROS的相对ATP水平和荧光强度。(h) 所示组中生殖细胞和颗粒细胞线粒体的透射电子显微镜成像。 (i-j) 相对乙酰辅酶A水平。(k) 卵巢中 DDX4 的 IF 染色。(l) 卵巢卵泡内卵母细胞的百分比。(m) 每个切片的卵母细胞总数。
05
母体VB1对新生儿卵巢组蛋白乙酰化修饰至关重要
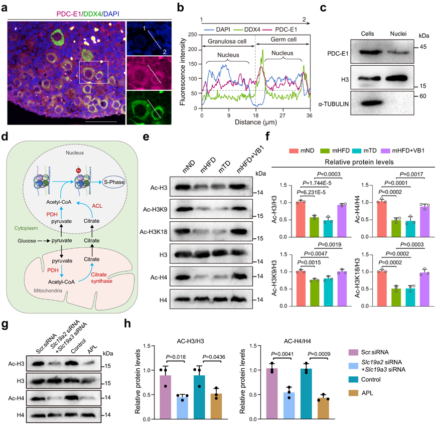
PDC-E1的亚单位也存在于卵巢细胞核中(图5a-c)。考虑到组蛋白乙酰化和表观遗传调控需要核乙酰辅酶a(图5d),他们评估了各组P3卵巢中核心组蛋白乙酰化水平,如Ac-H3、Ac-H4、Ac-H3K9和Ac-H3K18。mHFD和mTD小鼠子代卵巢组蛋白乙酰化水平显著降低(图5e-f)。此外,补充VB1显著恢复了mHFD小鼠后代卵巢中的组蛋白乙酰化水平(图5e-f)。此外,组蛋白乙酰化水平检测显示,与对照组相比,Slc19a2/Slc19a3 siRNA组和APL组Ac-H3和Ac-H4水平均显著降低(图5g-h)。
总之,VB1参与PDH介导的丙酮酸代谢为乙酰辅酶A,这对于参与新生儿卵巢原始卵泡组装的组蛋白和线粒体功能的乙酰化修饰至关重要。

图5. 母体维生素 B1 对于新生儿卵巢中组蛋白乙酰化的修饰至关重要。
(a) 卵巢中PDC-E1和DDX4的IF染色。(b) 定量颗粒细胞和生殖细胞中 PDC-E1、DDX4 和 DAPI 的荧光强度。 (c) 卵巢细胞和细胞核中 PDC-E1 的相对蛋白水平。(d) 丙酮酸在细胞核和线粒体中通过 PDH 转化为乙酰辅酶 A 的示意图。 (e-f) mND、mHFD、mTD 或 mHFD+VB1 小鼠后代卵巢中 Ac-H3、Ac-H3K9、Ac-H3K18 和 Ac-H4 的代表性图像和相对蛋白质水平。 (g-h) 卵巢中 Ac-H3 和 Ac-H4 的代表性图像和相对蛋白质水平。
06
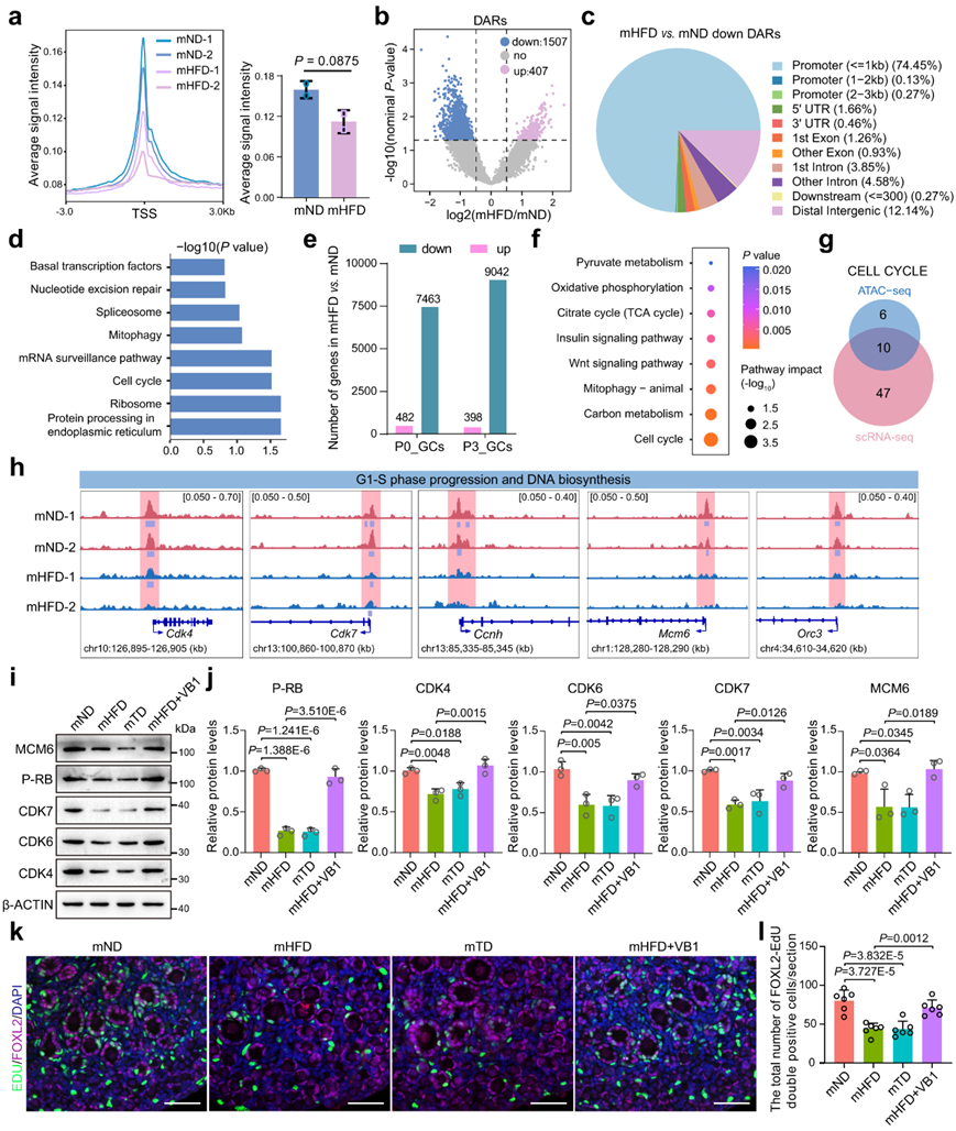
母体 VB1 不足影响染色质可及性调节的颗粒细胞增殖
组蛋白乙酰化通过调节染色质可及性与基因表达密切相关。因此,他们采用 ATAC 测序(ATAC-seq)来确定 mND 和 mHFD 组后代 P3 卵巢中整体染色质可及性的状态。通过分析ATAC测序数据,他们发现与mND组相比,mHFD组整个基因组转录起始位点(TSS)周围的ATAC信号减少(图 6a)。具体来说,mHFD组表现出显著下调的差异可及区域(DAR),主要位于启动子区域(图 6b-c)。这些位于可及性降低的启动子区域的基因主要富集于“内质网蛋白质加工”、“核糖体”和“细胞周期”途径中(图6d)。此外,通过scRNA-seq分析,在P0和P3时子代卵巢颗粒细胞中发现16505个下调基因与880个上调基因存在显著差异表达基因(图6e)。颗粒细胞P0和P3之间常见的下调基因在“细胞周期”通路中显著富集(图6f)。通过分析ATAC-seq,确定了在“细胞周期”通路中富集的重叠基因(图6g),包括Cdk4、Cdk7、Mcm6、Orc3、Ccnh、Anapc16、Atm、Smc3、Pttg1和Cdkn1b。其中,Cdk4、Cdk7、Mcm6、Orc3和Ccnh参与了“G1-S期进展和DNA生物合成”过程。他们定性评估了这些基因位点内的ATAC-seq峰的变化,发现mHFD组的盒状峰较mND组显著降低(图6h)。补充VB1显著恢复了mHFD小鼠后代卵巢中这些基因水平(图6i-j)。
考虑到颗粒细胞迁移到卵母细胞周围的增殖在原始卵泡的形成中是必不可少的,他们采用EdU染色来评估颗粒细胞的增殖。数据显示,mHFD和mTD组的颗粒细胞中几乎没有EdU染色,这与Pdha1-siRNA或CPI-613组相似,表明颗粒细胞的异常增殖是导致原始卵泡数量不足的主要原因(图6k-l)。值得注意的是,补充VB1恢复了颗粒细胞的增殖(图6k-1)。这些结果表明VB1不足不仅抑制乙酰辅酶A和组蛋白乙酰化水平,而且对卵巢颗粒细胞中染色质可及性调节的细胞周期相关基因表达产生重要影响,从而导致原始卵泡组装的破坏。

图6. 母体维生素 B1 不足会抑制后代颗粒细胞的增殖。
(a) 以 TSS 为中心的方式显示跨越整个基因组的 ATAC 测序信号。 (b) mND 和 mHFD 组之间差异可及区域 (DAR) 的火山图。(c) mHFD与mND 中下调的 DAR 的基因组分布。(d) 启动子区域可及性降低的基因KEGG富集分析。(e) mND 和 mHFD 组后代卵巢颗粒细胞中差异表达基因的数量。 (f) mND 和 mHFD 组后代卵巢颗粒细胞中下调基因的 KEGG 富集分析。(g) 维恩图说明 ATAC-seq和 scRNA-seq之间细胞周期相关基因的关系。(h) ATAC 测序标准化读数显示 G1-S 期进展和 DNA 生物合成基因。 (i-j) mND、mHFD、mTD 或 mHFD+VB1 小鼠后代卵巢中 MCM6、P-RB、CDK7、CDK4 和 CDK6 的代表性图像和相对蛋白水平。(k-l) 分别对来自 mND、mHFD、mTD 或 mHFD+VB1 小鼠的子代卵巢中 EdU(增殖标记)和 FOXL2(颗粒细胞标记)进行 IF 染色,以及 FOXL2-EdU 双阳性细胞的定量。
07
母体VB1 水平与妊娠期糖尿病相关
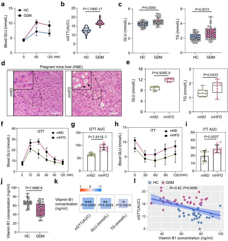
妊娠糖尿病(GDM)是一种以高血糖为特征的妊娠相关疾病,其潜在机制和最佳治疗策略仍不清楚。他们纳入了62名孕妇进行随访,将她们分为两组,包括健康对照组(HC)和GDM组。患有GDM的女性经历了葡萄糖(GLU)和甘油三酯(TG)水平的显著升高,以及葡萄糖耐受不良(图7a-c)。为了检测母体HFD模型是否与GDM的表型相似,与mND小鼠相比,mHFD小鼠中含有脂滴的肝细胞(图7d),以及mHFD组的GLU和TG水平显著升高(图7e)。与此同时,妊娠 mHFD 小鼠中 HFD 诱导的葡萄糖不耐受和胰岛素抵抗显著加速,表明葡萄糖耐量和胰岛素敏感性受损(图 7f-i)。
为了进一步证明母体 VB1 在 GDM 中的重要性,他们检测了 HC 和 GDM 个体的血清 VB1 水平。有趣的是,患有 GDM 的女性血清 VB1 水平显著降低(图 7j),这与母体 HFD 模型一致。更重要的是,VB1的丰度与GDM表型高度相关,尤其是葡萄糖不耐受(图 7k-l)。这些结果结果强调了 VB1 的重要性,它可以保护后代原始卵泡形成免受损害,表明 VB1 将成为治疗 GDM 的有效候选药物。

图7. 患有妊娠期糖尿病 (GDM) 的人维生素 B1 水平降低。
(a) 针对孕妇、健康对照者 (HC) 和 GDM 的口服葡萄糖耐量测试 (oGTT)。 (b) 小提琴图,显示 HC 和 GDM 孕妇的 oGTT 曲线下面积 (AUC)。 (c) 箱线图显示 HC 和 GDM 母体血清中葡萄糖 (GLU) 和甘油三酯 (TG) 的水平。(d) mND 和 mHFD 小鼠肝脏的代表性 H&E 图像。(e) 箱线图显示 mND 和 mHFD 组母体血清中 GLU 和 TG 水平。(f-g) mND 和 mHFD 小鼠的葡萄糖耐量试验 (GTT) 和 AUC。 (h-i) mND 和 mHFD 小鼠中的胰岛素耐受性测试 (ITT) 和 AUC。 (j) 箱线图显示 HC 和 GDM 母体血清中维生素 B1 的血清水平。(k) HC 和 GDM 中维生素 B1 和 oGTT (AUC) 以及 GLU 和 TG 之间的 Spearman 相关性分析。(l) HC 和 GDM 中维生素 B1 和 oGTT (AUC) 的 Spearman 相关性分析。
+ + + + + + + + + + +
结 论
本项研究确定小鼠怀孕期间母亲的高脂肪饮食会损害雌性后代卵巢原始卵泡,这伴随着生殖细胞的线粒体功能障碍。维生素 B1 促进后代卵巢中的乙酰辅酶 A 代谢,有助于细胞周期相关基因启动子处的组蛋白乙酰化和染色质可及性、增强线粒体功能和改善颗粒细胞增殖。在人类中,患有妊娠期糖尿病的女性血清中的维生素 B1 含量下调。在本项研究中,这些结果揭示了母亲高脂肪饮食在影响后代卵子命运中的作用。维生素 B1 可能是保护后代健康的一种有前途的治疗方法。
+ + + + +



English

